Moderna stomatološka ordinacija West u Požegi - Dr Tamara Vesović

Ordinacija West
Vaš osmeh je naš prioritet

15+ godina iskustva u stomatologiji i estetskoj medicini. Dr Tamara Vesović i njen tim nude kompletnu negu za vaš savršen osmeh i lepotu.

O nama

Posvećeni smo vašem zdravlju i lepoti

Dr Tamara Vesović - Vaš pouzdani partner za zdravlje i lepotu

Sa preko 15 godina iskustva u stomatologiji i estetskoj medicini, dr Tamara Vesović i njen tim pružaju vrhunske usluge koje kombinuju medicinski pristup sa estetskim rezultatima koji prevazilaze očekivanja.

U ordinaciji West verujemo da svaki pacijent zaslužuje individualan pristup. Koristimo najnovije tehnologije i materijale svetskih brendova, garantujući sigurnost, kvalitet i dugotrajne rezultate.

15+ godina iskustva

Specijalizacija iz stomatologije i estetske medicine

Najnovija oprema

3D skener, digitalna radiografija, švajcarski implanti

Personalni pristup

Individualan plan tretmana za svakog pacijenta

Dr Tamara Vesović - Stomatolog i specijalist estetske medicine

Naše usluge

Kompletna stomatološka i estetska nega

Stomatologija

Kompletna stomatološka nega - od preventive do fiksnih protetskih radova. Koristimo bezbolne tehnike i najkvalitetnije materijale.

  • Fiksne protetike (krunice i mostovi)
  • Bezmetalne keramičke krunice
  • Švajcarski implanti Straumann
  • Ortodontski fiksni aparati
  • Bezbolno lečenje kanala
  • Profesionalno beljenje zuba
Krunice od 14.000 RSD
Zakaži pregled

Estetska Medicina

Prirodna lepota i pomlađivanje - specijalizovani tretmani za lice koji spajaju bezbednost sa vrhunskim estetskim rezultatima.

  • PRP tretman (platelet-rich plasma)
  • Botox i dermal fileri
  • Mezoterapija lica
  • Biorevitalizacija kože
  • Hemijski piling i PRX-T33
  • Lipoliza - uklanjanje masnih naslaga
Tretmani od 8.000 RSD
Svi tretmani

Naši tretmani

Specijalizovani tretmani za vaše potrebe - kliknite za detaljne informacije

PRP Tretman

Platelet-Rich Plasma - prirodno pomlađivanje kože pomoću vlastite plazme bogate trombocitima. Sigurna procedura bez rizika od alergijskih reakcija.

  • Prirodno pomlađivanje
  • Stimuliše kolagen
  • Bez alergijskih reakcija
Saznajte više

Botox Tretman

Profesionalni botox tretmani za prirodno smanjenje bora i pomlađivanje lica. Minimalno invazivan sa dugotrajnim rezultatima.

  • Smanjuje bore
  • Prirodan izgled
  • Brza procedura
Saznajte više

Dermal Fileri

Tretmani hijaluronskim filerima za uvećanje usana, popunjavanje bora i konturiranje lica. Trenutni rezultati sa prirodnim izgledom.

  • Uvećanje usana
  • Popunjavanje bora
  • Konturiranje lica
Saznajte više

7 Point Usne

Napredna tehnika za savršeno oblikovanje usana sa 7 precizno definisanih tačaka aplikacije za prirodan i harmoničan rezultat.

  • Precizna aplikacija
  • Prirodan izgled
  • Dugotrajni rezultati
Saznajte više

Mezoterapija

Vitaminska mezoterapija za duboku hidraciju, pomlađivanje i obnavljanje kože lica. Bogat koktel vitamina i nutrijenata.

  • Duboka hidratacija
  • Vitamini i nutrijenti
  • Obnova kože
Saznajte više

Biorevitalizacija

Intenzivna hidratacija i revitalizacija kože pomoću hijaluronske kiseline za prirodan i svež izgled kože.

  • Intenzivna hidratacija
  • Povećava elastičnost
  • Svež izgled
Saznajte više

Jalupro Super Hydro

Napredna biorevitalizacija sa hijaluronskom kiselinom i aminokiselinama za duboku hidraciju i obnovu kože.

  • Hijaluronska + aminokiseline
  • Duboka hidracija
  • Stimulacija kolagena
Saznajte više

Skin Booster PRX T33

Revolucionarni hemijski piling za obnovu kože bez ljušenja, idealnu teksturu i mladoliko svetlo lice.

  • Bez ljušćenja
  • Trenutni rezultat
  • Minimalno vreme oporavka
Saznajte više

Lipoliza

Neinvazivno uklanjanje lokalnih masnih naslaga pomoću lipolititskih injekcija za savršeno konturiranje tela.

  • Neinvazivno
  • Ciljno delovanje
  • Dugotrajni rezultati
Saznajte više

Hemijski Piling

Profesionalni hemijski piling za obnovu kože, uklanjanje hiperpigmentacija i poboljšanje teksture.

  • Uklanja hiperpigmentacije
  • Poboljšava teksturu
  • Kontrolisana obnova
Saznajte više

Zainteresovani ste za tretman?

Kontaktirajte nas za besplatnu konsultaciju i saznajte koji tretman je pravo za vas

Pre i Posle

Pogledajte neverojetne transformacije naših pacijenata

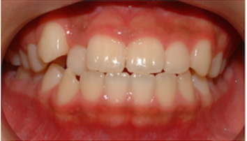
Pre tretmana - stomatološki slučaj 1
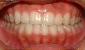
Posle tretmana - stomatološki slučaj 1

Fiksne protetike

Transformacija osmeha - pre i posle fiksnih krunica

Pre botox tretmana
Posle botox tretmana

Botox tretman

Smanjenje bora i pomlađivanje lica

Pre botox tretmana
Posle botox tretmana

Botox tretman

Uklanjanje bora i osvežavanje lica

Cenovnik

Transparentne cene za sve naše usluge

Kompletan cenovnik stomatoloških usluga

01. Ukazivanje prve pomoći 1.000 RSD
02. Aplikacija leka za devitalizaciju zuba 1.500 RSD
03. Vitalna ekstirpacija 500 RSD
04. Završno lečenje kanala korena zuba 4.000 RSD
05. Kompozitna (bela) plomba na prednjim zubima 3.500 RSD
06. Kompozitna (bela) plomba na bočnim zubima 4.500 RSD
07. Plomba na mlečnom zubu (Fuji IX) 2.000 RSD
08. Kompozitna nadogradnja 5.000 RSD
09. Kompozitna nadogradnja sa ojačanjem korena 12.000 RSD
10. Drenaža zuba 1.500 RSD
11. Vađenje mlečnog zuba 1.200 RSD
12. Vađenje prednjih zuba 1.500 RSD
13. Vađenje bočnih zuba i zaostalih korenova 3.000 RSD
14. Vađenje umnjaka 6.000 RSD
15. Komplikovano vađenje 4.500 RSD
16. Hirurško vađenje umnjaka 12.000 RSD
17. Uklanjanje tvrdih i mekih naslaga (kamenac) 3.000 RSD
18. Zalivanje fisura 1.500 RSD
19. Kiretiranje 1 parodontalnog džepa 500 RSD
20. Kiretiranje svih parodontalnih džepova 3.000 RSD
21. Livena nadogradnja 4.000 RSD
22. Fiber-glas nadogradnja 4.000 RSD
23. Metalokeramička kruna 14.000 RSD
24. Metalokeramička kruna na implantu 26.000 RSD
25. Bezmetalna kruna 24.000 RSD
26. Bezmetalna kruna na implantu 36.000 RSD
27. Skeletirana proteza 40.000 RSD
28. Skeletirana proteza sa nastavkom 50.000 RSD
29. Totalna proteza 30.000 RSD
30. Reparatura proteze 3.000 RSD
31. Izbeljivanje zuba po vilici (kućno) 7.500 RSD
32. Izbeljivanje zuba po vilici (ordinacijsko) 12.000 RSD
33. Ortodontski (fiksni) aparat po vilici 82.000 RSD
34. Ortodontski (mobilni) aparat po vilici 24.000 RSD
35. Implant 57.000 RSD

Estetska stomatologija

Keramičke fasete (veneers) - po zubu 35.000 RSD
Profesionalno beljenje zuba (kućno) 12.000 RSD
Zoom beljenje (u ordinaciji) 25.000 RSD
Kompozitno modeliranje - po zubu 8.000 RSD
Hollywood smile paket (8 zuba) 280.000 RSD
Invisalign tretman 450.000 RSD

Za dodatne informacije o tretmanima i cenama, kontaktirajte nas.

Recenzije pacijenata

Šta kažu naši zadovoljni pacijenti

Marija P.

Marija P.

"Fiksne proteze koje sam dobila u ordinaciji West su promenile moj život! Dr Vesović je napravila savršen osmeh koji izgleda potpuno prirodno. Mogu ponovo da se smešem bez stida. Hvala vam!"

Januar 2026
Stefana M.

Stefana M.

"Mezoterapija lica je dala neverovatne rezultate! Koža mi je postala mekša, hidrirana i ima prirodan sjaj. Dr Vesović je objasnila sve prednosti tretmana i ja sam ooduševljena."

Decembar 2025
Ana J.

Ana J.

"Botox tretman je bio savršen! Dr Vesović ima odličan esteski osaj i velika iskustva. Rezultat je prirodan, bez pretirivanja. Bore oko očiju su nestale, a izgledam mlađe."

Novembar 2025
Petar N.

Petar N.

"Fiksna proteza je promenila moj život! Konačno mogu ponovo normalno da žvacem i smejem se bez stida. Dr Vesović je napravila fantastičan rad - proteza savršeno odgovara."

Oktobar 2025
Jelena S.

Jelena S.

"Biorevitalizacija tretman je prevazišao sva moja očekivanja! Koža mi je postala mekša, hidriranija i ima zdravi sjaj. Dr Vesović je objasnila sve prednosti tretmana."

Septembar 2025
Milena R.

Milena R.

"Fileri tretman je dao odličan rezultat! Dr Vesović ima odličan estetski osaj - lice mi izgleda prirodno i svežije. Veoma sam zadovoljna sa tretmanom."

Avgust 2025
Milica T.

Milica T.

"Hijaluron tretman je dao fantastične rezultate! Koža mi je postala mekša, hidrirana i ima prirodan sjaj. Dr Vesović je objasnila ceo proces i izbor preparata."

Juli 2025
Nenad V.

Nenad V.

"Fiksne proteze su prevazišle sva moja očekivanja! Kvalitet materijala i rada je odličan. Dr Vesović je veoma precizna i iskusna. Mogu ponovo da se osmešim bez stida."

Jun 2025

Često postavljena pitanja

Odgovori na najčešća pitanja naših pacijenata

Koliko traje terapija fiksnim ortodontskim aparatom?

Terapija fiksnim ortodontskim aparatom (bravicama) obično traje 12-24 meseca, u zavisnosti od složenosti slučaja i stepena nepravilnosti zuba. Mesečne kontrole su obavezne za podešavanje aparata. Nakon skidanja aparata, obavezno je nošenje retencionog aparata kako bi se zubi održali u novom položaju. Rezultat je trajno lep i pravilno raspoređen osmeh.

Da li boli nošenje fiksnog ortodontskog aparata?

Postavljanje aparata je potpuno bezbolno. Prvih nekoliko dana nakon postavljanja ili podešavanja aparata može biti blaga nelagodnost i osetljivost zuba, što je normalno jer se zubi pomeraju. Ova nelagodnost se kontroliše običnim analgeticima i obično prolazi za 2-3 dana. Nakon perioda prilagođavanja, većina pacijenata ne oseća nelagodnost.

Kako se održava higijena sa fiksnim ortodontskim aparatom?

Higijena je ključna tokom ortodontske terapije. Preporučujemo četkanje posle svakog obroka specijalnom ortodontskom četkicom, upotrebu interdentalne četkice za čišćenje oko bravica i vodeni flosser. Izbegavajte tvrdе, lepljive i žvakače namirnice koje mogu oštetiti aparat. Redovne mesečne kontrole i profesionalno čišćenje su obavezni tokom terapije.

Da li su tretmani botoksa i filera bolni?

Tretmani su minimalno nelagodni. Koristimo ultra tanke igle i primenjujemo hladne obloge pre tretmana. Većina filera već sadrži lidokain za dodatnu anesteziju. Pacijenti opisuju osećaj kao blagi ubod ili pritisak. Cela procedura traje 15-30 minuta i nakon toga možete nastaviti sa normalnim aktivnostima.

Koliko dugo traju rezultati estetskih tretmana (botoks, fileri)?

Botoks traje 4-6 meseci, nakon čega se postupno gubi efekat. Hijaluronski fileri traju 6-18 meseci u zavisnosti od zone i tipa filera. PRP tretman daje rezultate koji traju 12-18 meseci. Mezoterapija i biorevitalizacija zahtevaju seriju od 3-4 tretmana sa održavanjem svakih 6 meseci.

Šta je oporavak nakon estetskih tretmana lica?

Oporavak je minimalan. Možete se odmah vratiti normalnim aktivnostima. Nakon tretmana može biti blagi otok ili crvenilo koje prolazi za 1-2 dana. Preporučujemo izbegavanje intenzivne fizičke aktivnosti, saune i sunčanja prvih 24-48 sati. Modrice su retke, ali ako se pojave, prolaze za 5-7 dana.

Da li su estetski tretmani bezbedni?

Da, svi tretmani koje nudimo su potpuno bezbedni kada ih izvodi iskusan medicinski profesionalac. Koristimo isključivo sertifikovane preparate poznatih svetskih brendova (Allergan, Galderma, Merz). Dr Tamara Vesović ima višegodišnje iskustvo i sertifikate za sve tretmane. Pre svakog tretmana radimo detaljnu anamnezu i konsultaciju.

Kako mogu da zakažem pregled ili konsultaciju?

Pregled možete zakazati pozivom na +381 60 600 7088, slanjem poruke na WhatsApp, email-om na info@ordinacija-west.rs ili popunjavanjem kontakt forme na našem sajtu. Prva konsultacija za estetske tretmane je besplatna. Trudimo se da odgovorimo u najkraćem roku i pronađemo termin koji vam odgovara.

Nemate odgovor na svoje pitanje?

Kontaktirajte nas direktno - rado ćemo odgovoriti na sva vaša pitanja

Kontaktirajte nas

Lokacija

Lako nas pronađite u centru grada

Adresa

Vojvode Mišića 50

31000 Požega, Srbija

Otvori u Google Maps

Radno vreme

Ponedeljak - Petak: 09:00 - 19:00

Subota: 09:00 - 15:00

Nedelja: Zatvoreno

Parking

Dostupan parking ispred ordinacije

Kontakt

Zakažite svoj pregled ili postavite pitanje

Telefon za zakazivanje

+381 60 600 7088

WhatsApp poruke

Pošaljite poruku

Radno vreme

Ponedeljak - Petak: 09:00 - 19:00

Subota: 09:00 - 15:00

Nedelja: Zatvoreno

Hitni slučajevi

Van radnog vremena:

+381 60 600 7088